Clinical Evaluation of Iliopsoas Strain with Findings from Diagnostic Musculoskeletal Ultrasound in Agility Performance Canines – 73 Cases

  • Robert Cullen Veterinary Orthopedic and Sports Medicine Group 10975 Guilford Rd Annapolis Junction, MD 20701
  • Debra Canapp Veterinary Orthopedic and Sports Medicine Group 10975 Guilford Rd Annapolis Junction, MD 20701
  • David Dycus Veterinary Orthopedic and Sports Medicine Group 10975 Guilford Rd Annapolis Junction, MD 20701
  • Brittany Carr Veterinary Orthopedic and Sports Medicine Group 10975 Guilford Rd Annapolis Junction, MD 20701
  • Victor Ibrahim Regenerative Orthopedics and Sports Medicine 600 Pennsylvania Ave SE, Washington, DC 20003
  • Sherman Canapp Veterinary Orthopedic and Sports Medicine Group 10975 Guilford Rd Annapolis Junction, MD 20701

Published:

2017-06-13

DOI

https://doi.org/10.18849/ve.v2i2.93

Abstract

Objective: Iliopsoas injury and strain is a commonly diagnosed disease process, especially amongst working and sporting canines. There has been very little published literature regarding iliopsoas injuries and there is no information regarding the ultrasound evaluation of abnormal iliopsoas muscles. This manuscript is intended to describe the ultrasound findings in 73 canine agility athletes who had physical examination findings consistent with iliopsoas discomfort. The population was chosen given the high incidence of these animals for the development of iliopsoas injury; likely due to repetitive stress.

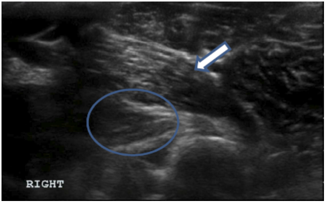
Methods: Medical records of 73 agility performance canines that underwent musculoskeletal ultrasound evaluation of bilateral iliopsoas muscle groups were retrospectively reviewed. Data included signalment, previous radiographic findings, and ultrasound findings. A 3-tier grading scheme for acute strains was used while the practitioner also evaluated for evidence of chronic injury and bursitis.

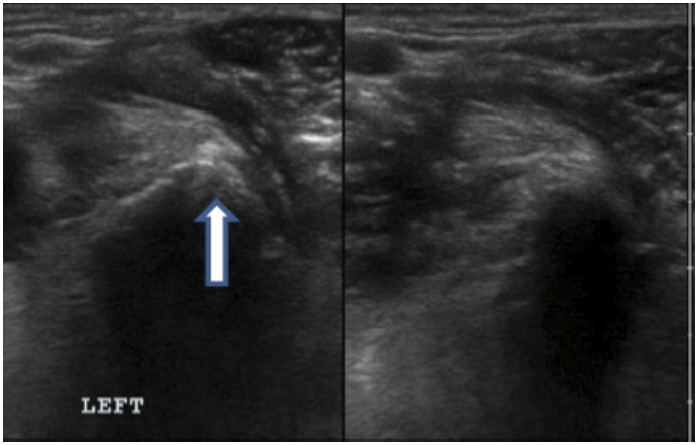
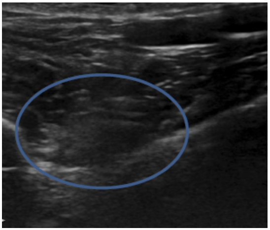
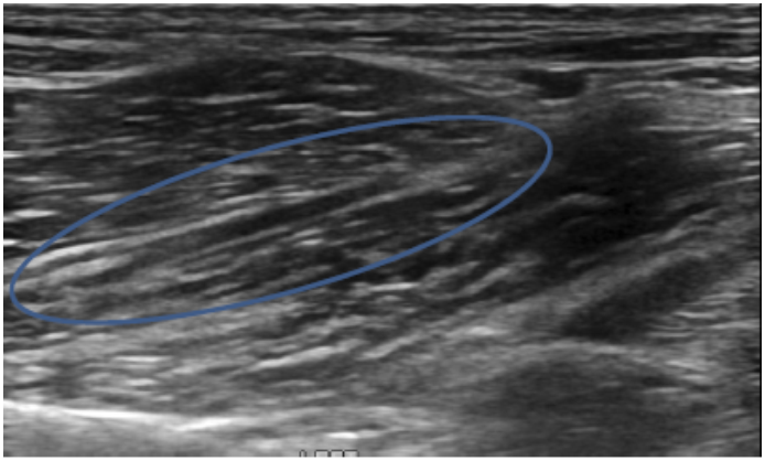
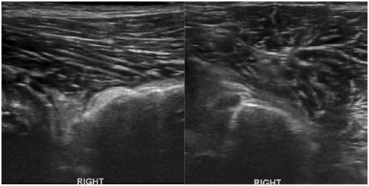
Results: The majority of pathologies were localised to the tendon of insertion, with the majority being low grade I-II strains (80.8%). Tendon fibre disruption (71.2%) and indistinct hypoechoic lesions (91.8%) were the most common of acute changes noted. Hyperechoic chronic changes were noted in 84.9 percent of cases. Acute and chronic changes were commonly seen together (62.8%).

Conclusion: Diagnostic musculoskeletal ultrasound was used to identify lesions of the iliopsoas tendon consistent with acute and chronic injury, as well as identifying the region of pathology. The majority of agility performance dogs had low grade acute strains based on the tiered system, with mixed acute and chronic lesions being noted frequently.

Application: Diagnostic musculoskeletal ultrasound provides a non-invasive diagnostic modality for patients suspected of having an iliopsoas strain.


Open Access Peer Reviewed

Author Biographies

Robert Cullen, Veterinary Orthopedic and Sports Medicine Group 10975 Guilford Rd Annapolis Junction, MD 20701

Intern of the Surgery Department

Debra Canapp, Veterinary Orthopedic and Sports Medicine Group 10975 Guilford Rd Annapolis Junction, MD 20701

Owner, Medical Director

David Dycus, Veterinary Orthopedic and Sports Medicine Group 10975 Guilford Rd Annapolis Junction, MD 20701

Surgeon

Brittany Carr, Veterinary Orthopedic and Sports Medicine Group 10975 Guilford Rd Annapolis Junction, MD 20701

Rehabilitation and Sports Medicine Resident

Victor Ibrahim, Regenerative Orthopedics and Sports Medicine 600 Pennsylvania Ave SE, Washington, DC 20003

Director, PMRCenter

Sherman Canapp, Veterinary Orthopedic and Sports Medicine Group 10975 Guilford Rd Annapolis Junction, MD 20701

Owner, Chief of Staff

References

Breur, G.J. Blevins, W.E. (1997) Traumatic injury of the iliopsoas muscle in three dogs. Journal of the American Veterinary Medical Association, (210), pp. 1631-1634.

Cabon, Q. Bolliger, C. (2013) Iliopsoas muscle injury in dogs. Compendium on Continuing Education for the Practising Veterinarian, 35:E2.

Canapp, S.O. (2007) Non-responsive hind-limb lameness in agility dogs: Iliopsoas strains. Clean Run; 2-5.

Anderson, K. Strickland, S.M. Warren, R. (2001) Hip and Groin Injuries in Athletes. The American Journal of Sports Medicine, (29), pp. 521-533.

Cullen, K. et al. (2013) Internet-based survey of the nature and perceived causes of injury to dogs participating in agility training and competition events. Journal of the American Veterinary Medical Association, 243 (7), pp. 1010-1018. http://dx.doi.org/10.2460/javma.243.7.1010

Carmichael, S. Marshall, W. (2012) Muscle and tendon disorders. In: Tobias KM, Johnston SA, eds. Veterinary Surgery: Small Animal. St. Louis, MO: Elsevier. 1127-1134.

Morelli, V. Smith, V. (2015) Groin Injuries in Athletes. American Family Physician, 64(8), pp. 1405-1414.

Maganaris, C.N. et al. (2004) Biomechanics and Pathophysiology of Overuse Tendon Injuries. Sports Medicine, 34 (14), pp. 1005-1017. http://dx.doi.org/10.2165/00007256-200434140-00005

Ooi, C.C. et al. (2014) Applications and limitations of axial-strain sonoelastography and shear-wave elastography in the assessment of tendon injuries. Skeletal Radiology (43), pp. 1-12.

Montgomery, R. Fitch, R. (2002) Muscle and tendon disorders. In: Slatter (ed): Textbook of Small Animal Surgery. 3rd Saunders, 2264-2271.

Da Silva, C.G. et el. (2009) Fibrotic myopathy of the iliopsoas muscle in a dog. Veterinary and Comparative Orthopaedics and Traumatology, (22), pp. 238-242.

Stepnik, M.W. et al. (2006) Femoral neuropathy in a dog with iliopsoas muscle injury. Veterinary Surgery, 35 (2), pp. 186-190. http://dx.doi.org/10.1111/j.1532-950X.2006.00130.x

Laksito, M.A. et al. (2011) Fibrotic myopathy of the iliopsoas muscle in a dog. Australian Veterinary Journal, 89 (4), pp. 117-121. http://dx.doi.org/10.1111/j.1751-0813.2011.00694.x

Rossmeisl, J.H. et al. (2004) Computed tomographic features of suspected traumatic injury to the iliopsoas and pelvic limb musculature of a dog. Veterinary Radiology & Ultrasound (45), 388-392. http://dx.doi.org/10.1111/j.1740-8261.2004.04070.x

Bui, K.L. et al. (2008) Iliopsoas injury: an MRI study of patterns and prevalence correlated with clinical findings 37 (3), 245-249. http://dx.doi.org/10.1007/s00256-007-0414-3

Cannon, M.S. Puchalski, S.M. (2008) Ultrasonographic evaluation of normal canine iliopsoas muscle. Veterinary Radiology & Ultrasound, 49 (4), pp. 378-382. http://dx.doi.org/10.1111/j.1740-8261.2008.00385.x

Agten, C.A. et al. (2015) Outcomes after fluoroscopy-guided iliopsoas bursa injection for suspected iliopsoas tendinopathy. European Radiology, 25 (3), pp. 865-871. http://dx.doi.org/10.1007/s00330-014-3453-x

Anderson, K. Strickland, SM. Warren, R. (2001) Hip and Groin Injuries in Athletes. The American Journal of Sports Medicine (29), 521-533.

Blankenbaker, D.G. De Smet, A.A. Keene, J.S. (2006) Sonography of the iliopsoas tendon and injection of the iliopsoas bursa for diagnosis and management of the painful snapping hip. Skeletal Radiology, 35 (8), pp. 565-571. http://dx.doi.org/10.1007/s00256-006-0084-6

Baltzer, W. (2012) Sporting dog injuries. Veterinary Medicine dvm360.com; 166-177.

Drakonaki, E.E. et al. (2012) Ultrasound elastography for musculoskeletal applications. The British Journal of Radiology, 85 (1019), pp. 1435-1445. http://dx.doi.org/10.1259/bjr/93042867

Henderson, A.L. Latimer, C. Millis, D.L. (2015) Rehabilitation and physical therapy for selected orthopedic conditions in veterinary patients, Veterinary Clinics of North America: Small Animal Practice, 45 (1), pp. 91-121. http://dx.doi.org/10.1016/j.cvsm.2014.09.006

Johnston, C.A.M. et al. (1998) Iliopsoas bursitis and tendinitis. Sports Medicine, 25 (4), pp. 271-283. http://dx.doi.org/10.2165/00007256-199825040-00005

Laor, T. (2010) Hip and groin pain in adolescents. Pediatric Radiology, 40 (4), pp. 461-467. http://dx.doi.org/10.1007/s00247-009-1517-x

Mahler, S.P. (2012) Ultrasound guidance to approach the femoral nerve in the iliopsoas muscle: a preliminary study in the dog. Veterinary Anaesthesia and Analgesia, 39 (5), pp. 550-554. http://dx.doi.org/10.1111/j.1467-2995.2012.00731.x

Mogicato, G. et al. (2015) Anatomical and ultrasonographic study of the femoral nerve within the iliopsoas muscle in beagle dogs and cats. Veterinary Anaesthesia and Analgesia, 42 (4), pp. 425-432. http://dx.doi.org/10.1111/vaa.12240

Spurlock, G.H. et al. (1989) Ultrasonographic, gross, and histologic evaluation of a tendinitis disease model in the horse. Veterinary Radiology, 30 (4), pp. 184-188. http://dx.doi.org/10.1111/j.1740-8261.1989.tb00773.x

Nielson, C. Pluhar, G.E. (2005) Diagnosis and treatment of hind limb muscle strain injuries in 22 dogs. Veterinary and Comparative Orthopaedics and Traumatology, (18), 247-253.

Ragetly, G.R. et al. (2009) Bilateral iliopsoas muscle contracture and spinous process impingement in a German Shepherd dog. Veterinary Surgery, 38 (8), pp. 946-953. http://dx.doi.org/10.1111/j.1532-950X.2009.00581.x

Wall, R. (2014) Introduction to myofascial trigger points in dogs. Topics in Companion Animal Medicine, 29 (2), 43-48. http://dx.doi.org/10.1053/j.tcam.2013.11.001

Lento, P.H. Primack, S. (2008) Advances and utility of diagnostic ultrasound in musculoskeletal medicine. Current Reviews in Musculoskeletal Medicine, 1 (1), pp. 24-31. http://dx.doi.org/10.1007/s12178-007-9002-3

Holsebeeck, M.T. (2001) Sonography of bursae. Musculoskeletal ultrasound (2), 131-170.

O'Donoghue, D.O.(1962) Treatment of injuries to athletes. Philadelphia: WB Saunders

Takebayashi, S. et al. (1995) Sonographic findings in muscle strain injury: clinical and MR imaging correlation. Journal of Ultrasound in Medicine, 14 (12), pp. 899–905. http://dx.doi.org/10.7863/jum.1995.14.12.899

Peetrons, P. (2002) Ultrasound of muscles. European Radiology, 12 (1), pp. 35–43. http://dx.doi.org/10.1007/s00330-001-1164-6

26,679

Save

15,794

View